Dental Implants
Cosmetic Enameloplasty
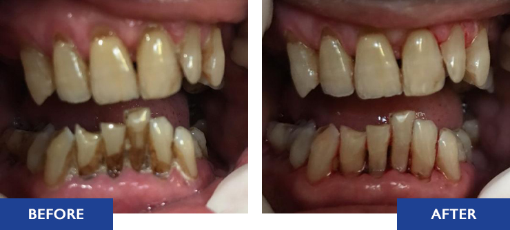
Regular Cleaning of Teeth
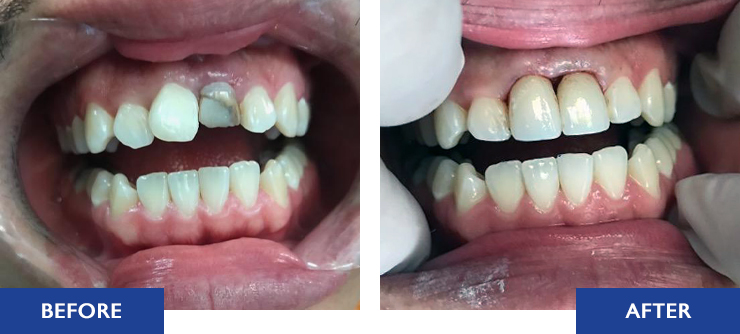
Veneers
Bleaching of Teeth
Cavity
Composite Fillings
Multiple Caries
Tooth Restorations
Crowns and Bridges
